Ο Ρόντ, ο «φύλακας» της κεντρικής πλατείας της πόλης δέχθηκε βολές από αεροβόλο όπλο!
Το γεγονός αποκαλύφτηκε μετά από τις απαραίτητες εξετάσεις στις οποίες υποβλήθηκε από τον κτηνίατρο Κοσμά Αποστολίδη. Είχε προηγηθεί κινητοποίηση της Δημοτικής Αρχής άμεσα όταν ο Ροντ εντοπίστηκε σε άθλια κατάσταση από φιλόζωους στο κέντρο των Τρικάλων προ διμήνου (δείτε ΕΔΩ αναλυτικά).
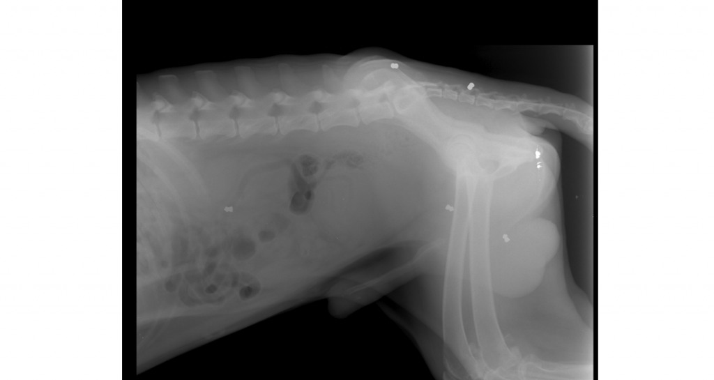
Όπως καταγράφει το trikalavoice.gr στις ακτινογραφίες που υπεβλήθη φάνηκε να φέρει ακόμη τα σκάγια τα οποία δέχθηκε, στο σώμα του (οι εφτά άσπρες κουκκίδες). Φαίνεται καθαρά και στη φωτό που αναρτούμε στο trikalavoice.gr. Όχι για να σοκάρουμε, αλλά για να συνετίσουμε και να κάνουμε αυτούς που προβαίνουν σε τέτοιες ενέργειες να αντιληφθούν το τι ακριβώς πράττουν. Ο Ροντ αναρρώνει σήμερα από τα τραύματά του, αν και η υγεία του είναι ιδιαίτερα βεβαρημένη.

